相关背景
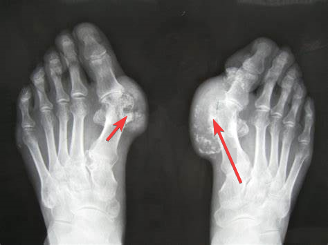
痛风是由于人体内嘌呤代谢紊乱导致血尿酸生成增多和(或)尿酸排泄障碍造成的,其临床特点表现为高尿酸血症、特征性急性关节炎反复发作,常累及皮下、骨、关节和肾脏。研究发现,我国痛风患病率为0.03%~10.47%[1]。近年来随着人们生活水平的提高、饮食结构及生活习惯的改变,痛风患病人数逐渐呈上升趋势,且趋于年轻化,从地理环境特点发现,沿海地区和高原地区的发病率明显高于内陆地区。

痛风在间歇期可通过饮食控制和药物治疗有效控制病情发展,但大部分痛风患者依从性差,长期高尿酸血症状态及急性痛风反复发作是引起尿酸沉积形成痛风石的主要原因。痛风性关节炎大多受累于第一跖趾关节(即大脚趾关节处),其他受累关节分别为足背、踝、膝、指、腕等关节,臀部痛风石较为少见。对于巨大痛风石严重影响生活质量的患者,可行痛风石切除术治疗,但其具有过程复杂、易感染、多伴并发症、易复发等特点。

病例资料
患者男,62岁[2]。既往30+年“痛风”病史,10+年前因双足多发痛风石曾于“外院”行手术治疗(具体不详),现四肢远端见多发痛风石,手指、足趾肿胀严重畸形,活动明显受限,未诉肢体关节疼痛。其母亲及兄弟有痛风病史。此次因“发现双侧臀部肿物10+年,加重伴左侧疼痛6+个月”。10+年前患者无明显诱因发现双侧臀部肿物,左侧大小约7cm×6cm, 右侧约4cm×3cm, 质韧,可推动,与周围组织无粘连,患者未予重视,未经系统诊治。6+个月前患者无明显诱因感臀部肿物较前增大,伴左侧疼痛、活动障碍,左侧大小约10cm×10cm, 右侧约6cm×5cm, 质韧,可推动,与周围组织无粘连。严重影响日常生活,遂就诊于我院风湿免疫科门诊,因左臀部单个痛风石体积大、质地硬,并已造成关节功能障碍,无法独立步行,已不能通过保守治疗达到满意的治疗效果,与患者本人与家属进行了充分的沟通,拟收治入院行手术治疗。
入院查体:双侧臀部肿物,左侧大小约10cm×10cm, 右侧约6cm×5cm, 质软,可推动,与周围组织无粘连,左侧臀部肿物压痛,无瘙痒,无破溃、流液。
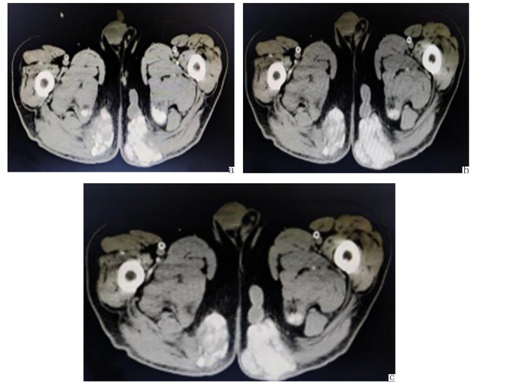
辅助检查:实验室检查:中性粒细胞百分比79.30%,淋巴细胞百分比12.90%。尿素 17.39mmol/L,肌酐130.0μmol/L,尿酸 602μmol/L,估算肾小球滤过率51mL/(min·1.73m2)。血沉、CRP、肝功能未见明显异常。尿常规pH值5.00。盆腔螺旋CT回示(见图1):右肾小结石;多发关节周围、臀部软组织高密度影及骨质改变。左侧浅表包块彩超回示(见图2):左侧臀部皮下组织混合回声团,请结合临床。诊断:(1)皮下组织肉芽肿(左侧臀部痛风性肉芽肿),(2)右侧臀部肿物,(3)全身多发痛风石形成,(4)原发性高血压3级 很高危组并心脏损害,(5)冠状动脉粥样硬化性心脏病,(6)冠状动脉支架植入后状态,(7)2型糖尿病,(8)慢性肾衰竭。
经完善术前相关检查及相关科室会诊无手术禁忌证,综合评估手术风险及获益,患者及家属签署相关手术知情同意书后于2023年4月28日在椎管内麻醉下行“左臀部滑膜囊肿切除术+筋膜组织瓣成形术”治疗。手术过程:患者麻醉生效后,取俯卧位,常规消毒术区,铺无菌巾。取左臀部包块明显处,沿皮纹切口长约8cm切开皮肤,电刀切开皮下,见囊壁,沿囊壁电刀锐性解剂,避开并保护坐骨神经,分离肿物至坐骨滑膜表面,并见大量石膏样物,部分囊壁分隔,予以完整切除,切除物送常规病检。碘伏水消毒术区,彻底止血,见少许渗血,予“医用胶原蛋白海绵”一张填塞止血。术区放置外科手术引流导管套装(5mm)引流并固定。游离周围筋膜,行筋膜组织瓣成形,予以3-0可吸收倒刺线,连续缝合周围筋膜,皮瓣修整成形,对合好后,予丝线手术外翻缝合。再次消毒,无菌敷料包扎固定,术闭安返病房。术中、术后患者未诉特殊不适。术后第1天患者生命征平稳,一般情况良好,术区少量渗血、脓液渗出,术区引流管内见少量炎性渗血渗液,予物理抗菌喷雾敷于手术切口处,促进切口愈合,无菌纱布包扎固定。术后第2天伤口敷料干燥,外层敷料无渗血渗液,内层见少量炎性液体渗出,术区引流管内见少量炎性渗血渗液。术后第3天伤口敷料见少量脓血性液体渗出,继予加强换药促进愈合。根据患者病情,继予积极换药,保持引流通畅,控制炎症为主,予物理抗菌喷雾敷料预防感染,促进创面愈合。2023年5月11日术后患者病情平稳,结合患者全身多发痛风石形成,现无关节红肿疼痛发作,术区未见渗血渗液,引流管内无引流液,加予非布司他片降尿酸治疗。术后3周伤口敷料外层纱布清洁干燥,术区缝线对合整齐,分泌物明显减少,恢复良好,遂拆线。出院后嘱患者继续低盐、低脂、低嘌呤、糖尿病饮食,继予非布司他片降尿酸治疗,定期于我院普外科门诊换药。出院后1周于我院门诊换药,术区皮色不红,皮温不高,周围皮肤逐渐结痂,创面较前减小。

盆腔螺旋CT图
本例患者病程漫长,合并原发性高血压3级(很高危组并心脏损害),冠状动脉粥样硬化性心脏病,冠状动脉支架植入后状态,2型糖尿病,慢性肾衰竭,本次就诊时已进展到慢性痛风性关节炎期。患者全身多发痛风石,因左臀部单个痛风石体积大、质地硬,位置特殊并已造成关节功能障碍,无法独立步行,目前治疗指南无相对应的指导方案。患者病情危重,已不能通过保守治疗达到满意的治疗效果,在治疗组充分讨论评估患者基本状况与明确手术指征后,并与患者本人与家属进行了充分的沟通,最终确认以“左臀部滑膜囊肿切除术+筋膜组织瓣成形术”切除左侧臀部肿物联合术后服用非布司他降尿酸维持治疗方案。患者术中顺利,术后给予降尿酸、控制血压血糖、保护肾功能等治疗,手术治疗后除局部愈合较慢,未出现皮肤坏死、感染等并发症。在风湿免疫科联合普外科联合治疗下,该次手术有效切除左臀部痛风石、改善关节受限情况,术后无不良并发症,6个月后随访患者康复状态良好。但由于痛风为全身性代谢性疾病,故仍需长期规范治疗,适当锻炼,定期复查肝肾功能及血尿酸水平,保持血尿酸长期达标,减少痛风复发的频率。
病因
痛风性关节炎是由于单钠尿酸盐结晶沉积于关节内的慢性炎症性疾病,嘌呤代谢紊乱使痛风反复发作,是导致痛风石形成的首要原因。长期高血尿酸状态,更易导致体内尿酸盐沉积,尿酸盐除不累及中枢神经系统外,其余组织中均可因尿酸盐沉积形成痛风石,但臀部巨大痛风石在临床仍为少见。痛风石中所见的白色黏稠状赘生物,多为巨大细胞、单核细胞及上皮细胞浸润所形成,其容易造成关节周围组织纤维化、骨质破坏、骨关节退行性变甚至骨折等。巨大痛风石的骨质内部因长期的尿酸盐沉积而导致骨侵蚀,严重者会造成皮肤破溃不愈而影响正常生活。
主要治疗
手术治疗是治疗痛风石的主要方式,痛风石的形成不仅影响外在美观,后期也会导致关节变形及功能障碍。
当前普遍认可的手术适应证如下:
(1)痛风石压迫皮肤并已经破溃形成窦道,尿酸盐结晶渗出,为防止继发感染;
(2)痛风石增大造成肢体畸形和影响肢体功能时;
(3)痛风石压迫神经,引起神经压迫症状者;
(4)当患者关节出现负重的固定疼痛时;
(5)局部痛风石病灶破坏骨质致局部骨折;
(6)行诊断性组织活检;
(7)患者要求改善外观。
●手术治疗的优点:
(1)切除痛风石后,能有效减轻体内尿酸盐的储存量,降低外周血液中尿酸盐含量,减少痛风石对局部关节的压力,防止其进一步破坏,同时能降低了痛风的发作频率;(2)早期切除可避免窦道形成,避免结晶酸性物质流出形成感染;
(3)减轻神经局部以及肌腱受压,恢复关节功能;
(4)减少患者负重时出现固定疼痛的痛苦;
(5)能有效改善患者eGFR、尿素氮水平;
(6)改善患者美观,方便着装。
●手术治疗的缺点:
(1)手术切除痛风石虽作为一种有效、迅速的治疗方法,能快速减轻关节内损害,但间隙较小的关节难以进行手术或者手术清除不干净。如,关节镜手术不仅对滑膜、肌腱等有一定损伤,同时也难以清除干净关节内尿酸盐结晶。
(2)手术治疗痛风石虽能清除局部痛风结晶、降低体内尿酸总量,但不能根治痛风。
(3)手术属有创操作,难以避免损伤局部软组织,甚至术后可能出现伤口愈合不良或感染等术后并发症。
其它治疗
近年来,部分学者认为,痛风石<1cm, 建议行保守治疗;痛风石>1.5cm 者争取尽早手术治疗[3,4]。但笔者认为,痛风石治疗的核心仍是降低血尿酸水平使其维持至目标值以下,是否需要行手术治疗应综合评估患者病情的严重程度、经济条件和患者受累关节改善的需求等,制定个体化方案,同时在严格把握手术指征的条件下可行手术切除治疗。
术前应进行综合评估:(1)评估患者是否长期大剂量应用糖皮质激素,术后可能肾上腺危象的风险;(2)评估末梢循环:提前采取相应措施并予以预防[13];(3)做好术前沟通:可能存在局部皮肤坏死;再次诱发痛风的急性发作;(4)术后短期内可能出现尿酸盐结晶持续排出,会导致创口愈合缓慢;(5)出现下肢深静脉血栓的可能。
参考文献:
[1]杨丽华,刘晓丽,蒋雅琼,等.我国痛风的患病率及危险因素[J].医学研究杂志,2019,48(12):4-6+10.
[2]宋珊,刘正奇,贾二涛,等.臀部巨大痛风石手术1例[J].医学理论与实践,2024,37(07):1258-1260.
[3] Michelle Gita Filanovsky KS,Megan CM.Ulcerated tophaceous gout[J].Unusual presentation of more common disease/injury,2015,11:1-5.
[4]Kim YS, Park EH, Lee HJ, Koh YG. First metatarsophalangeal joint arthrodesis for the treatment of tophaceous gouty arthritis. Orthopedics. 2014;37(2):e141-e147.
2.我应该下载哪个文件/软件? 答:通常“数字后缀”表示版本号(越大越新),下载数字最大的即可!
3.下载地址为什么隐藏了? 答:防止爬虫索引,敏感内容登录即可免费下载!








- 最新
- 最热
只看作者